목차
임플란트 시술과정이라고 하면, ‘잇몸을 찢는다’, ‘많이 아프다’ 같은 무서운 이야기들이 먼저 떠오르죠.
하지만 실제 과정을 차근차근 이해해 보면, 생각보다 덜 복잡하고 두려움도 많이 줄어든답니다.
오늘은 여러분이 궁금해하던 임플란트 시술과정을 쉽고 자세히 알려드릴게요.

임플란트란 무엇인가요?
임플란트는 자연치아를 대신하는 인공치아입니다. 충치, 잇몸병, 사고 등으로 치아를 잃은 경우, 잇몸 뼈에 인공치근(티타늄)을 심고, 그 위에 보철물을 올려 자연치아처럼 기능하게 합니다.
틀니처럼 움직이지 않고, 브릿지처럼 옆 치아를 깎을 필요도 없어 요즘엔 가장 선호되는 치과 치료 중 하나로 자리 잡았죠.
참고: 건강보험심사평가원(2022)에 따르면, 65세 이상 국민의 약 35%가 임플란트 치료를 받은 경험이 있습니다.
임플란트 시술과정, 단계별로 알아볼까요?
1단계 – 진단 및 계획 수립
엑스레이와 3D CT를 통해 잇몸뼈의 상태, 잔존 치아의 건강, 전신질환 여부를 종합적으로 진단합니다.
이 단계에서 시술 가능 여부와 필요 시 뼈이식 여부도 결정됩니다.



2단계 – 인공치근 식립
국소 마취 후 잇몸을 절개하고, 인공치근을 식립 합니다. 수술은 대개 30분 ~ 1시간 이내에 끝나며, 마취 덕분에 통증은 거의 없습니다.
이후 2~ 4개월간 뼈와 임플란트가 잘 붙도록 기다립니다. 이 과정을 골유착이라고 합니다.
3단계 – 지대주 연결
골유착이 완료되면, 인공치근 위에 지대주(abutment)를 연결합니다. 이는 인공치아를 고정할 기둥 역할을 합니다.
4단계 – 보철물 장착
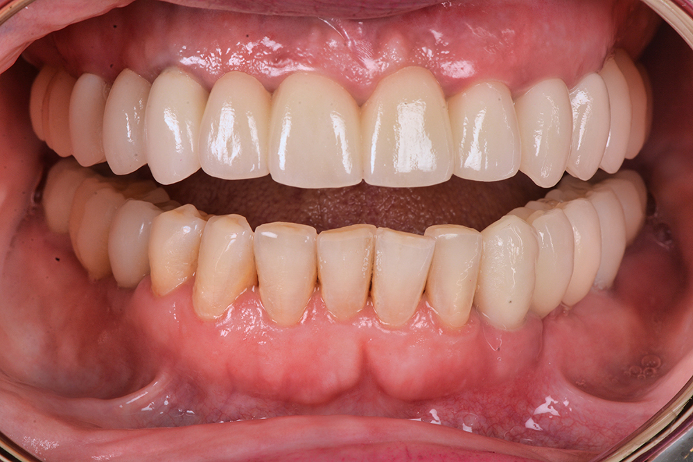
마지막 단계에서는 개인 맞춤형 보철물(크라운)을 장착합니다. 이로써 임플란트 시술과정이 완전히 마무리되며, 자연치아처럼 사용 가능합니다.



임플란트 시술, 얼마나 걸릴까요?
보통 한 개의 임플란트를 기준으로 약 3~6개월 정도 걸립니다.
뼈이식이 필요하거나, 잇몸 상태가 좋지 않은 경우는 시술 기간이 더 길어질 수 있습니다.
최근에는 ‘원데이 임플란트’처럼 당일 시술을 제공하는 병원도 있으나, 이는 정밀 진단 후에 결정됩니다.
누구나 임플란트를 받을 수 있을까요?
다수의 성인이 임플란트를 받을 수 있지만, 아래와 같은 경우에는 사전에 철저한 상담이 필요합니다.
- 당뇨나 고혈압 등 만성질환자
- 골다공증약 복용 중인 환자
- 흡연자 (회복 지연 가능)
이러한 조건은 임플란트 시술과정 중 회복 속도와 성공률에 영향을 미치기 때문에 반드시 의료진과 충분한 상담이 필요합니다.



시술 후 관리가 더 중요합니다
임플란트는 시술도 중요하지만, 그 이후 관리가 성공의 핵심입니다.
- 하루 2~3회 올바른 칫솔질
- 치실 및 구강세정기 사용
- 단단한 음식은 피하기
- 흡연은 금물!
- 6개월마다 정기 검진 필수
이런 생활 습관이 임플란트의 수명을 10년, 20년 이상으로 늘려줍니다.


결론
임플란트 시술과정은 처음엔 무섭고 복잡하게 느껴질 수 있지만, 실제로는 단계별로 잘 정리되어 있고 회복률도 높은 치료입니다.
중요한 건 신뢰할 수 있는 병원을 선택하고, 정기적인 관리와 진료를 게을리하지 않는 것이죠.
내게 꼭 맞는 치료 계획을 세워서, 건강하고 아름다운 미소를 되찾아보세요.